Skip to main content
Vision

Eye health

Lesson: 1 of 4
Topic: 2 of 4
0% Complete

What do healthy eyes look like?

Activity

Look at the examples of healthy eyes pictured below.

Note the following characteristics:

  • The white of the eye is clear
  • The centre of the eye (pupil) is bright
  • The centre of the eye (pupil) is round
  • There is no redness or swelling around the eyes
  • Both eyes look in the same direction.

Check eye health

Eye health problems can affect a person’s ability to see (vision).

However, many eye health problems can be treated and the person’s vision improved or fully restored.

Always check for any eye health problems before providing a vision assistive product for a person.

Question

What are some signs that a person has an eye health problem?

  • Redness
  • Swelling
  • Lumps, bumps or growths on or near the eye
  • Discharge
  • Dry, gritty or itchy eyes
  • Headaches

Signs of an eye health problem

Instruction

Read through the list of common visible signs of an eye health problem, and look at the corresponding images.

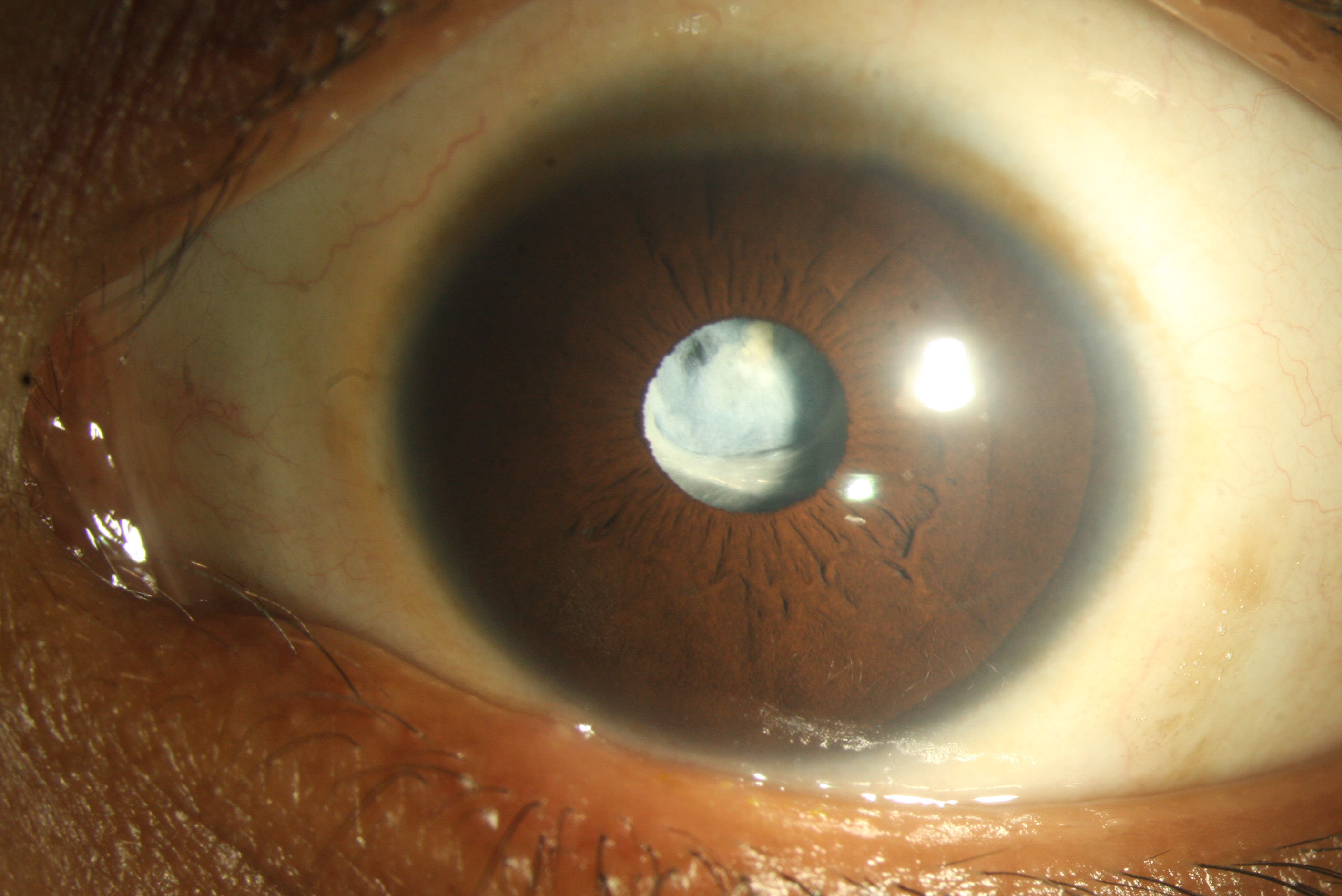
  • Centre of the person’s eye is white or cloudy

Two eyes, the eye on the left is cloudy

Close up of an eye that is white in the centre

This is a possible sign of a cataract. Cataracts are most common in older people, however can also affect younger people. A cataract significantly reduces a person’s vision.

Cataracts can be treated. Referral to an eye health care professional is essential.

  • Redness or swelling anywhere on or around the eye

Two eyes, the eye on the right is very red and swollen

  • Growths, lumps or bumps anywhere on or around the eye

Two eyes, the one on the left has a red lump on the lower eyelid

  • Discharge from the eye or eyelids

Two red eyes, the one on the right has discharge from it

  • Eyelids that are very droopy

  • One eye, or both eyes turn inwards or outwards (squint)

Two eyes, one stares straight ahead and one is looking inwards.

  • Frequent uncontrollable or jerky movement of the eyes
  • The pupils (black centre of the eye) do not change size in response to light, are different sizes, or are not round.

Instruction

Watch this video to see how a healthy eye reacts to light.

Warning

As well as the above physical signs, loss of vision or bad headaches that last for more than a few hours, could signal a serious health problem. Refer to a doctor straight away.

Diabetes and eye health

Diabetes can cause loss of vision. However, this can be prevented with early identification of problems and treatment.

For this reason, it is important to ask if a person has diabetes.

Any person with diabetes should:

  • Have a management plan in place with their doctor or a diabetes service.
  • Have a regular review of their vision by an eye health professional.

Discussion

Discuss with colleagues:

  • Where do people who have diabetes go for treatment in your area?
  • How do you refer people to these services?

Instruction

Learn more about eye health and how to manage eye health problems in the TAP Primary eye care course.